Blog
What Causes Cuboid Syndrome?
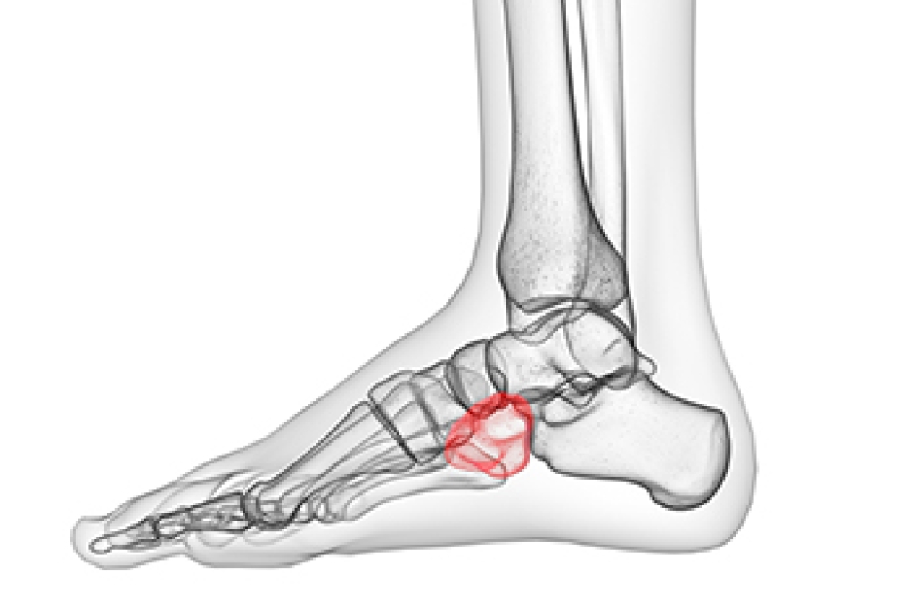
Cuboid syndrome is a condition in which the cuboid bone, located in the center of the foot, becomes dislocated. This produces symptoms such as foot pain, difficulty walking, swelling, sensitivity, and a reduced range of motion of the foot or ankle. The symptoms are like a sprain. Although the precise cause of cuboid syndrome is unknown, this condition is thought to arise from a forceful turn of the cuboid bone outwards as the heel bone turns inwards. This can be caused by an ankle sprain or other lower limb injury. Certain factors can increase the likelihood of cuboid syndrome. These include instability in the midfoot, being overweight or obese, wearing ill-fitting shoes or poorly constructed orthotics, and training excessively or on uneven surfaces. If you are experiencing the symptoms of cuboid syndrome, schedule an appointment with a podiatrist near you.
Cuboid syndrome, also known as cuboid subluxation, occurs when the joints and ligaments near the cuboid bone in the foot become torn. If you have cuboid syndrome, consult with Gary J. Kaiserman, DPM from Achilles Footcare Center. Our doctor will assess your condition and provide you with quality foot and ankle treatment.
Cuboid syndrome is a common cause of lateral foot pain, which is pain on the outside of the foot. The condition may happen suddenly due to an ankle sprain, or it may develop slowly overtime from repetitive tension through the bone and surrounding structures.
Causes
The most common causes of cuboid syndrome include:
- Injury – The most common cause of this ailment is an ankle sprain.
- Repetitive Strain – Tension placed through the peroneus longus muscle from repetitive activities such as jumping and running may cause excessive traction on the bone causing it to sublux.
- Altered Foot Biomechanics – Most people suffering from cuboid subluxation have flat feet.
Symptoms
A common symptom of cuboid syndrome is pain along the outside of the foot which can be felt in the ankle and toes. This pain may create walking difficulties and may cause those with the condition to walk with a limp.
Diagnosis
Diagnosis of cuboid syndrome is often difficult, and it is often misdiagnosed. X-rays, MRIs and CT scans often fail to properly show the cuboid subluxation. Although there isn’t a specific test used to diagnose cuboid syndrome, your podiatrist will usually check if pain is felt while pressing firmly on the cuboid bone of your foot.
Treatment
Just as the range of causes varies widely, so do treatments. Some more common treatments are ice therapy, rest, exercise, taping, and orthotics.
If you have any questions, please feel free to contact our offices located in Forest Lane and West Kiest Boulevard Dallas, TX . We offer the newest diagnostic and treatment technologies for all your foot care needs.
Can Foot Pain Be Avoided During Pregnancy?
Swollen feet are a common ailment among pregnant women. As their belly grows so does the baby, and with this the feet tend to become bigger. This may be a result of thickened blood that develops during pregnancy, in addition to standing on the feet for most of the day. Research has indicated there are several different things that can be done to help alleviate foot pain during pregnancy. It is beneficial to elevate the feet as often as possible, as this may help to reduce existing swelling. Additionally, it can help to flex and point the feet at various times during the day to help improve circulation. Patients may see a noticeable difference in choosing shoes that are wide and have a low heel. Wearing cotton socks can help to avoid sweating and may improve comfort. If you would like more information about how to avoid foot pain during pregnancy, please consult with a podiatrist.
Pregnant women with swollen feet can be treated with a variety of different methods that are readily available. For more information about other cures for swollen feet during pregnancy, consult with Gary J. Kaiserman, DPM from Achilles Footcare Center. Our doctor will attend to all of your foot and ankle needs.
What Foot Problems Can Arise During Pregnancy?
One problem that can occur is overpronation, which occurs when the arch of the foot flattens and tends to roll inward. This can cause pain and discomfort in your heels while you’re walking or even just standing up, trying to support your baby.
Another problem is edema, or swelling in the extremities. This often affects the feet during pregnancy but tends to occur in the later stages.
How Can I Keep My Feet Healthy During Pregnancy?
- Wearing orthotics can provide extra support for the feet and help distribute weight evenly
- Minimize the amount of time spent walking barefoot
- Wear shoes with good arch support
- Wear shoes that allow for good circulation to the feet
- Elevate feet if you experience swelling
- Massage your feet
- Get regular, light exercise, such as walking, to promote blood circulation to the feet
If you have any questions, please feel free to contact our offices located in Forest Lane and West Kiest Boulevard Dallas, TX . We offer the newest diagnostic and treatment technologies for all your foot care needs.
Flexible Flatfoot FAQs
There are two types of flat feet: rigid and flexible, with flexible being the most common. Unlike rigid flatfoot where the arch is never present, the arch in flexible flatfoot is present when the foot is elevated and flattens upon standing. Flexible flatfoot in children is generally not concerning because their arches typically develop between the ages of 7 and 10. It is said that up to 25% of kids will continue to have flexible flatfoot as adults. While flexible flatfoot in children and adults may not always produce symptoms, the condition may cause tired, achy feet after walking, leg cramps, overpronation—where the ankles roll inward while walking—and foot or ankle pain. Flexible flatfoot may be inherited and indicative of loose ligaments and flexible joints throughout the body. If flatfoot develops during adulthood, it could be caused by rheumatoid arthritis or neuropathy. Contact a podiatrist for more information about flat feet and to explore various treatment options.
Flatfoot is a condition many people suffer from. If you have flat feet, contact Gary J. Kaiserman, DPM from Achilles Footcare Center. Our doctor will treat your foot and ankle needs.
What Are Flat Feet?
Flatfoot is a condition in which the arch of the foot is depressed and the sole of the foot is almost completely in contact with the ground. About 20-30% of the population generally has flat feet because their arches never formed during growth.
Conditions & Problems:
Having flat feet makes it difficult to run or walk because of the stress placed on the ankles.
Alignment – The general alignment of your legs can be disrupted, because the ankles move inward which can cause major discomfort.
Knees – If you have complications with your knees, flat feet can be a contributor to arthritis in that area.
Symptoms
- Pain around the heel or arch area
- Trouble standing on the tip toe
- Swelling around the inside of the ankle
- Flat look to one or both feet
- Having your shoes feel uneven when worn
Treatment
If you are experiencing pain and stress on the foot you may weaken the posterior tibial tendon, which runs around the inside of the ankle.
If you have any questions, please feel free to contact our offices located in Forest Lane and West Kiest Boulevard Dallas, TX . We offer the newest diagnostic and treatment technologies for all your foot care needs.
Common Causes of Ankle Pain
Ankle pain can originate from any of the bones, joints, ligaments, tendons, and muscles that make up the ankle. A sprain is a very common cause of ankle pain and usually occurs due to a sudden twisting of the ankle that overstretched or tore ligaments. Achilles tendinopathy is common among athletes and is associated with pain in the back of the ankle and calf. Tibialis posterior tendinopathy causes pain on the inside of the ankle, while peroneal tendinopathy causes pain on the outside of the ankle. Osteoarthritis, a joint problem that occurs due to the wear and tear of the cartilage that lines the joints can affect the ankle as well, leading to stiffness and joint pain. If you are suffering from ankle pain it is strongly suggested that you seek the care of a podiatrist.
Ankle pain can have many different causes and the pain may potentially be serious. If you have ankle pain, consult with Gary J. Kaiserman, DPM from Achilles Footcare Center. Our doctor will assess your condition and provide you with quality foot and ankle treatment.
Ankle pain is any condition that causes pain in the ankle. Due to the fact that the ankle consists of tendons, muscles, bones, and ligaments, ankle pain can come from a number of different conditions.
Causes
The most common causes of ankle pain include:
- Types of arthritis (rheumatoid, osteoarthritis, and gout)
- Ankle sprains
- Broken ankles
- Achilles tendinitis
- Achilles tendon rupture
- Stress fractures
- Tarsal tunnel syndrome
- Plantar fasciitis
Symptoms
Symptoms of ankle injury vary based upon the condition. Pain may include general pain and discomfort, swelling, aching, redness, bruising, burning or stabbing sensations, and/or loss of sensation.
Diagnosis
Due to the wide variety of potential causes of ankle pain, podiatrists will utilize a number of different methods to properly diagnose ankle pain. This can include asking for personal and family medical histories and of any recent injuries. Further diagnosis may include sensation tests, a physical examination, and potentially x-rays or other imaging tests.
Treatment
Just as the range of causes varies widely, so do treatments. Some more common treatments are rest, ice packs, keeping pressure off the foot, orthotics and braces, medication for inflammation and pain, and surgery.
If you have any questions please feel free to contact our offices located in Forest Lane and West Kiest Boulevard Dallas, TX . We offer the newest diagnostic tools and technology to treat your foot and ankle needs.

